O câncer de pulmão é uma doença devastadora. Segundo a Organização Mundial da Saúde (OMS), o câncer de pulmão é uma das causas mais comuns de morte em todo o mundo, respondendo por quase 2,21 milhões de casos somente em 2020. É importante ressaltar que a doença pode ser progressiva; ou seja, para muitos, pode começar apenas como sintomas leves que não despertam alarme, antes de evoluir rapidamente para um diagnóstico com risco de vida, levando à morte.
Felizmente, a gama de terapias focadas em ajudar pacientes com câncer de pulmão cresceu tremendamente nas últimas duas décadas. No entanto, a detecção precoce do câncer ainda é um dos únicos meios para diminuir significativamente as taxas de mortalidade.
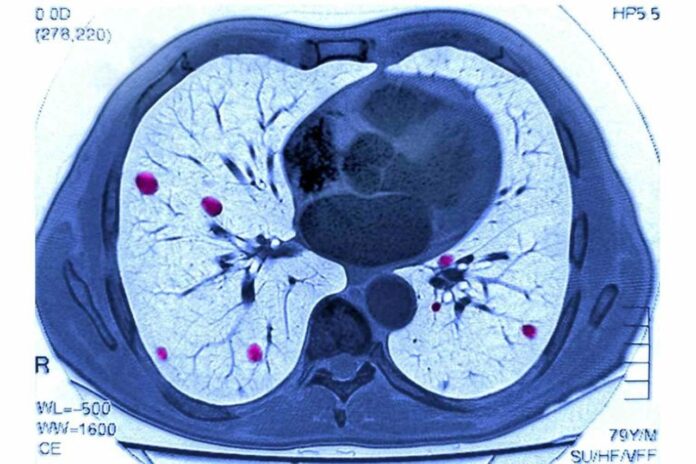
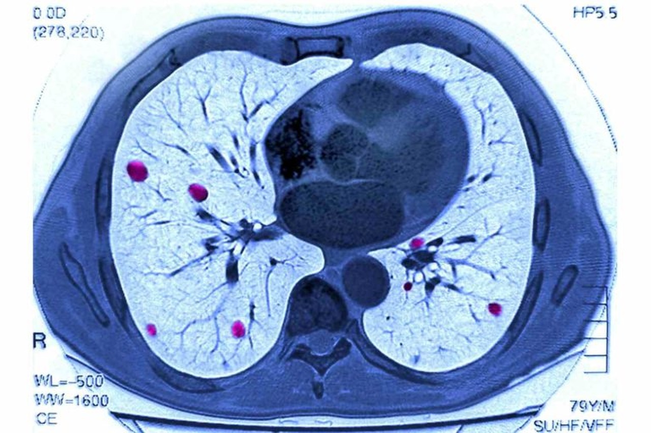
Uma conquista notável nessa área é o recente anúncio do Massachusetts Institute of Technology (MIT) e do Mass General Hospital (MGH), dos EUA, sobre o desenvolvimento de um modelo de aprendizado profundo chamado “Sybil” que pode ser usado para prever o risco de câncer de pulmão, usando dados a partir de apenas uma única tomografia computadorizada.
O estudo foi publicado formalmente no “Journal of Clinical Oncology” na semana passada e discute como “ferramentas que fornecem avaliação personalizada de risco futuro de câncer podem focar abordagens para aqueles com maior probabilidade de se beneficiar”.
Os líderes do estudo afirmam que “um modelo de aprendizado profundo avaliando todos os dados volumétricos de LDCT [Low Dose Contrast CT] poderia ser construído para prever o risco individual sem a necessidade de dados demográficos ou clínicos adicionais”.
O modelo começa com um princípio básico: “As imagens LDCT contêm informações que predizem o risco futuro de câncer de pulmão além dos recursos atualmente identificáveis, como nódulos pulmonares”. Portanto, os desenvolvedores procuraram “desenvolver e validar um algoritmo de aprendizado profundo que prevê o risco futuro de câncer de pulmão em até 6 anos a partir de uma única varredura de LDCT e avaliar seu potencial impacto clínico”.
No geral, o estudo foi notavelmente bem-sucedido até agora: Sybil é capaz de prever o risco futuro de câncer de pulmão de um paciente com certa precisão, usando os dados de apenas um LDCT.
Sem dúvida, as aplicações clínicas e as implicações dessa tecnologia ainda são imaturas. Mesmo os líderes do estudo concordam que um trabalho significativo precisará ser feito para descobrir exatamente como aplicar essa tecnologia na prática clínica real – especificamente no que diz respeito ao desenvolvimento de um grau de confiança na tecnologia.
No entanto, a premissa do algoritmo ainda é incrivelmente poderosa e implica uma mudança potencial no campo do diagnóstico preditivo.
As medidas de diagnóstico nunca foram tão poderosas. O fato de uma ferramenta poder usar apenas uma tomografia computadorizada para prever a função de uma doença a longo prazo pode potencialmente resolver muitos problemas – o mais importante deles é permitir o tratamento precoce e diminuir a mortalidade.
Os especialistas, em um primeiro momento, podem se opor a sistemas como esses, observando que nenhum sistema de IA poderia igualar o julgamento e a proeza clínica para substituir um médico humano. Mas o objetivo de sistemas como esses não é necessariamente substituir a experiência do médico, mas sim aumentar potencialmente os fluxos de trabalho dos médicos.
Um sistema como Sybil poderia ser facilmente usado como uma ferramenta de recomendação, sinalizando possíveis TCs para um médico, que poderia então usar sua experiência e seu conhecimento para concordar ou discordar da recomendação de Sybil. Isso provavelmente não apenas melhoraria o rendimento clínico, mas também poderia atuar como um processo secundário de “verificação” e possivelmente aumentar a precisão do diagnóstico.
Sem dúvida, ainda há muito trabalho a ser feito nessa área. Cientistas, desenvolvedores e inovadores têm uma longa jornada pela frente não apenas para aperfeiçoar o algoritmo e o sistema em si, mas também para navegar na arena hiperdiferenciada de introduzir essa tecnologia em aplicações clínicas reais. No entanto, a tecnologia, a intenção e o potencial que ela encerra em relação à melhoria da assistência ao paciente, se for desenvolvida de forma segura, ética e eficaz, é de fato promissora para a geração de diagnósticos que virão.
Por: Sai Balasubramanian


